Restore damaged or missing teeth with advanced Dental Crowns and Bridges in Pimpri Chinchwad at Dr. Madhuri Bhandari Dental Clinic.


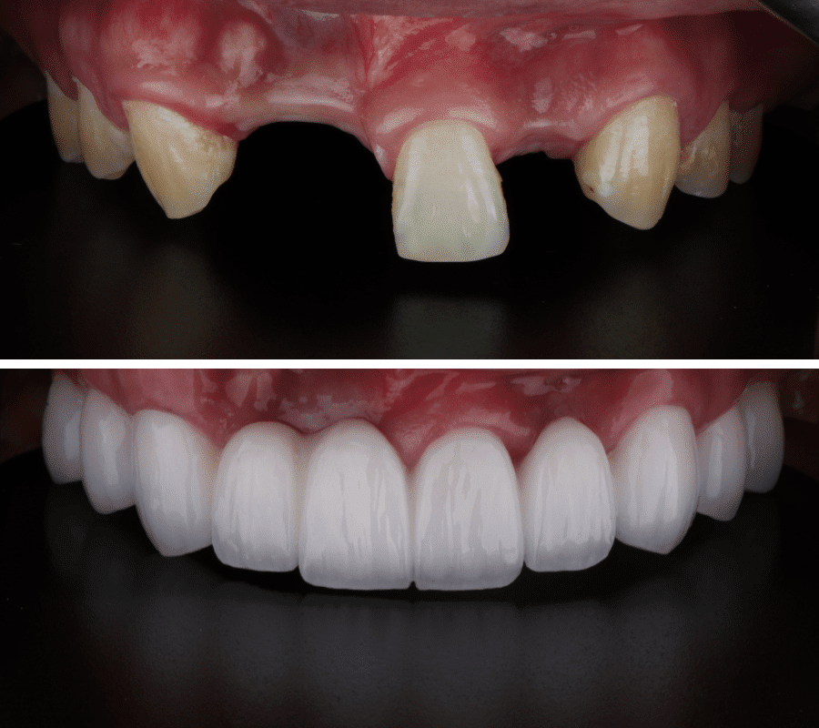
Dental crowns are tooth-shaped caps placed over damaged or weak teeth to restore strength, shape, and appearance.
Dental bridges replace one or more missing teeth by anchoring artificial teeth to adjacent natural teeth or implants.
Both treatments help restore oral function and prevent further dental issues.
Dr. Madhuri Bhandari offers expert dental crowns and bridges treatment in Pimpri Chinchwad with precise diagnosis and personalized care. Our clinic uses high-quality materials, advanced technology, and strict sterilization protocols to deliver durable, comfortable, and aesthetically pleasing restorations. With experienced specialists on panel, we ensure long-lasting results and patient satisfaction.
Assessment and shaping of the affected tooth.
Accurate impression for perfect crown fit.
Protects tooth until permanent crown is ready.
Permanent restoration placed for full function.

Book your appointment today and take the first step toward better oral health with expert care and a gentle touch.
Our clinic offers advanced equipment, strict sterilization, painless procedures, affordable pricing, and complete dental solutions for all age groups under one roof.
The cost depends on material and number of teeth involved. We offer affordable and transparent pricing.
No. Dental crown and bridge procedures are painless and performed under local anesthesia for maximum comfort.
Crowns are recommended for severely damaged teeth, providing more strength than fillings.
Yes. We use tooth-colored materials that closely match natural teeth.
Yes. Our clinic is located at Premraj Chamber, Opposite MIDC Office, Near Bikaner Sweets, Pimpri Chinchwad.