drmadhuridentist.in

Precision Attachment in Pimpri Chinchwad | Advanced Denture Support

Experience superior comfort and stability with Precision Attachment treatment in Pimpri Chinchwad at Dr. Madhuri Bhandari Dental Clinic.

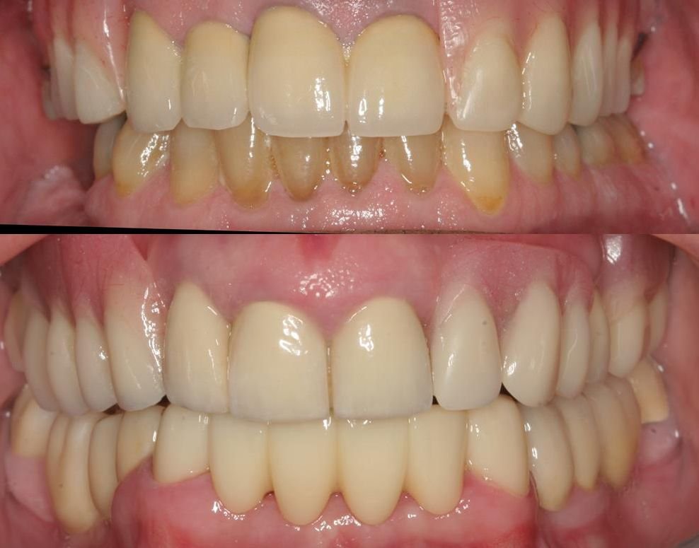
Precision attachment denture treatment at Dr. Madhuri Bhandari Dental Clinic in Pimpri Chinchwad Pune
Precision attachment denture treatment at Dr. Madhuri Bhandari Dental Clinic in Pimpri Chinchwad Pune
Our Service

What Is a Precision Attachment?

A precision attachment is an advanced dental prosthetic system used with partial dentures. It consists of precisely engineered components that connect dentures to crowns or implants without visible clasps, resulting in better grip, comfort, and aesthetics.

Benefits of Precision Attachments

Why Choose Us

Painless Treatment to Save Your Natural Tooth

Dr. Madhuri Bhandari provides expert precision attachment treatment in Pimpri Chinchwad using advanced prosthodontic techniques and high-quality attachment systems. Our clinic ensures accurate planning, strict sterilization, and personalized care for comfortable, durable, and natural-looking denture solutions. With experienced specialists on panel, we deliver reliable results tailored to individual needs.

Detailed assessment using digital X-rays and bite analysis.

Assessment of teeth, gums, and jaw support.

Painless & Stress-Free Experience

Customized attachment system selection.

Value With Transparency

Support structures prepared accurately.

Dedicated Aftercare & Healing Support

Precision attachment placed for secure fit.

precision attachment dentures treatment in Pimpri Chinchwad Pune

Ready for a Healthier, Brighter Smile?

Book your appointment today and take the first step toward better oral health with expert care and a gentle touch.

Got Questions? We’re Here to Help.

Explore the answers to our most commonly asked questions to help you feel more confident before your visit.

Our clinic offers advanced equipment, strict sterilization, painless procedures, affordable pricing, and complete dental solutions for all age groups under one roof.

Costs vary depending on the attachment type, but results offer excellent long-term value.

No. Precision attachment procedures are comfortable and minimally invasive, performed under local anesthesia when required.

Yes. Precision attachments provide better stability, comfort, and aesthetics than conventional dentures.

Yes. Dentures are removable but firmly secured using attachments.

Yes. Our clinic is located at Premraj Chamber, Opposite MIDC Office, Near Bikaner Sweets, Pimpri Chinchwad.

Call Now Button