drmadhuridentist.in

Gum Surgery Treatment in Pimpri Chinchwad | Advanced Periodontal Care

Get relief from bleeding gums, gum infections, and advanced gum disease with professional Gum Surgery Treatment in Pimpri Chinchwad at Dr. Madhuri Bhandari Dental Clinic.

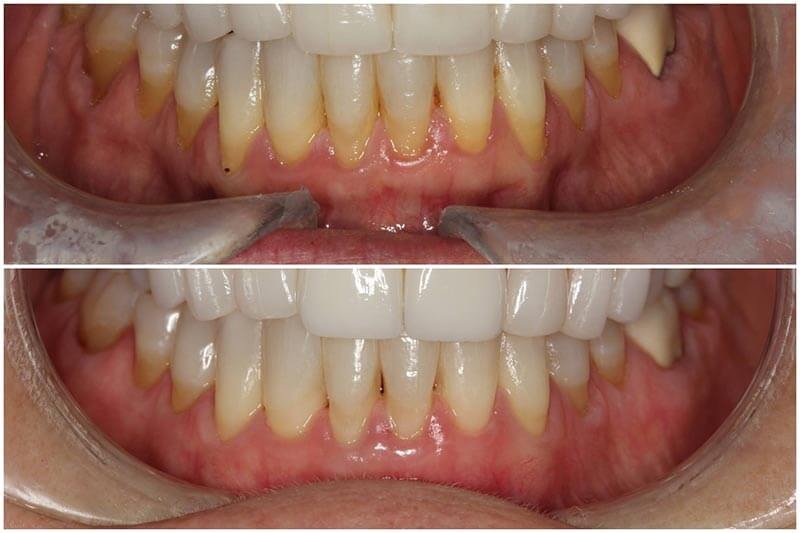
Gum surgery treatment at Dr. Madhuri Bhandari Dental Clinic in Pimpri Chinchwad Pune
Gum surgery treatment at Dr. Madhuri Bhandari Dental Clinic in Pimpri Chinchwad Pune
Our Service

What is Gum Surgery Treatment?

Gum surgery, also known as periodontal surgery, is a dental procedure used to treat advanced gum disease (periodontitis). It removes infected tissue, reduces gum pockets, and restores gum health, preventing tooth loosening and bone loss.

Benefits of Gum Surgery

Why Choose Us

Painless Treatment to Save Your Natural Tooth

Dr. Madhuri Bhandari provides expert gum surgery treatment in Pimpri Chinchwad using advanced periodontal techniques and modern equipment. Our clinic follows strict sterilization protocols and offers minimally invasive, painless procedures for faster healing and long-lasting results. With experienced specialists on panel, we ensure safe and effective gum care for every patient.

Detailed assessment using digital X-rays and bite analysis.

Assessment using X-rays and periodontal evaluation.

Painless & Stress-Free Experience

Ensures a painless and comfortable procedure.

Value With Transparency

Infected tissue and bacteria are cleaned thoroughly.

Dedicated Aftercare & Healing Support

Guidance provided for fast recovery and gum health.

Gum surgery treatment at Dr. Madhuri Bhandari Dental Clinic in Pimpri Chinchwad Pune

Ready for a Healthier, Brighter Smile?

Book your appointment today and take the first step toward better oral health with expert care and a gentle touch.

Got Questions? We’re Here to Help.

Explore the answers to our most commonly asked questions to help you feel more confident before your visit.

Our clinic offers advanced equipment, strict sterilization, painless procedures, affordable pricing, and complete dental solutions for all age groups under one roof.

No. Gum surgery is performed under local anesthesia and is minimally invasive. Post-treatment discomfort is mild and manageable.

The cost depends on the severity of gum disease and treatment type. We offer affordable and transparent pricing.

Yes. With modern techniques and experienced specialists, gum surgery is safe and effective.

With proper oral hygiene and regular check-ups, results are long-lasting.

Yes. Our clinic is located at Premraj Chamber, Opposite MIDC Office, Near Bikaner Sweets, Pimpri Chinchwad.

Call Now Button